آرشیو عکس های [ رحم عکس واقعی عفونت قارچی واژن ]
آرشیو عکس های [ علت درمان نشدن عفونت قارچی واژن ]
آرشیو عکس های [ عکس انواع عفونت رحم ]
آرشیو عکس های [ عکس عفونت واژن ]
آرشیو عکس های [ عکس واقعی عفونت قارچی واژن نی نی سایت ]
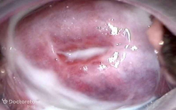
آرشیو عکس های [ عکس عفونت مخمری واژن ]
آرشیو عکس های [ اگر عفونت قارچی واژن درمان نشود چه میشود ]
آرشیو عکس های [ ترشحات عکس انواع عفونت واژن ]
آرشیو عکس های [ رحم عکس واقعی عفونت قارچی واژن ]
آرشیو عکس های [ علت درمان نشدن عفونت قارچی واژن ]
آرشیو عکس های [ عکس انواع عفونت رحم ]
آرشیو عکس های [ عکس عفونت واژن ]
آرشیو عکس های [ عکس واقعی عفونت قارچی واژن نی نی سایت ]
آرشیو عکس های [ عکس عفونت مخمری واژن ]
آرشیو عکس های [ اگر عفونت قارچی واژن درمان نشود چه میشود ]
آرشیو عکس های [ ترشحات عکس انواع عفونت واژن ]
آرشیو عکس های [ رحم عکس واقعی عفونت قارچی واژن ]
آرشیو عکس های [ علت درمان نشدن عفونت قارچی واژن ]







.webp)






































دیدگاه کاربران
مطلب بسیار مفید و آموزنده بود، ممنون!
امیدوارم پستهای بیشتری در این زمینه ببینیم.
ارسال دیدگاه